“Extreme remedies are very appropriate for extreme diseases.” ― Hippocrate


“Healing is a matter of time, but it is sometimes also a matter of opportunity.” ― Hippocrate

Deformity correction

What is a deformity of bone?

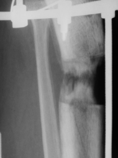
Deformity is defined as abnormal deviation from the normal bony anatomy. And the causes can be due to post traumatic, post infective, congenital, developmental growth plate abnormalities and due to tumors.


What are the causes of bone deformity?

  • Post traumatic
  • Post infective
  • Congenital
  • Developmental
  • Metabolic
  • Tumor
  • Nutritional

What is deformity correction?

Deformity correction is a procedure to straighten a bone that is bent or twisted in a way that is not normal. Deformities can be corrected in two different ways:

  • Acute correction- All at once during a surgical procedure
  • Gradual correction Slowly over the course of several weeks or months

How does acute deformity correction work?

Dr.JijeeshHere the bone is cut at the region or near to the deformity to create two separate bone segments. This surgical procedure to cut a bone is called an osteotomy. Then the deformity can be corrected and it can be fixed with an external fixator or internal fixator. The internal device may be an internal nail/rod or a metal plate. Sometimes additional soft-tissue procedures are done at the same time to allow the muscles and nerves to accommodate the correction. After the bone heals, the internal device may be removed during a second surgery. In some situations, we may use fixator-assisted nailing or fixator-assisted plating to straighten the bone. These two procedures involve temporary application of an external fixator during surgery to hold the bone segments in perfect alignment while an internal nail, rod or plate is applied. The external fixator is then removed at the completion of the surgery, but the internal fixation remains.


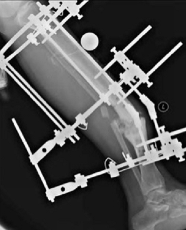
How does gradual deformity correction work?

Here an external fixator is applied to the bone. Then cuts the bone (osteotomy) into two separate bone segments .And here we use external fixator ie ,Ilizarov or LRS or SUV instead of internal fixation. After surgery, the patient will be given specific instructions and a schedule for how to adjust the external fixator so that it slowly straightens the bone. This gradual process of slowly separating and straightening the bone segments is called distraction, which means “pulling apart.” As the two bone segments are slowly pulled apart and straightened, new bone forms in the space between them. The new bone is called regenerate bone. During the distraction phase, the bone is straightened at a slow rate of approximately 1 mm per day. This forces the body to constantly grow new bone and soft tissues such as skin, muscles, nerves, and blood vessels. The distraction phase lasts until the bone is straight or corrected. The patient will need to see the doctor every 10 to 14 days during the distraction phase and will start an intensive physical therapy schedule. The distraction phase is followed by the consolidation phase, where the regenerate bone slowly hardens. The bone is consolidated (“healed”) when the regenerate bone has completely hardened and calcified. The consolidation phase typically takes twice as long as the distraction phase. To help the bone heal, patients should avoid nicotine in any form, make sure that their diet includes lots of protein, and take vitamin and mineral supplements. During this stage, the patient has to start putting some weight on the arm/leg, which will also encourage the bone to harden and heal. After the regenerate bone has fully solidified, the external fixator is removed during an outpatient surgical procedure.


Dr.Jijeesh
Dr.Jijeesh
Dr.Jijeesh


What happens if the bone is straightened too slowly during gradual correction?

If the bone is straightened too slowly, the bone may heal before it has been fully straightened. The doctor will want to see the patient often (every 1 to 2 weeks) during the distraction phase to prevent premature consolidation. Even though the typical rate of correction is 1 mm per day, each person responds differently to bone lengthening. Some people’s bones heal very quickly, and the regenerate bone may harden before treatment is completed. This is called premature consolidation. When the regenerate bone hardens too quickly, the bone may heal before it is completely straight or fully aligned. The early stages of premature consolidation can be detected on X-rays. When this starts to happen, one option is to increase the rate that the bone segments are pulled apart. If the regenerate bone has entirely consolidated, the bone may need to be surgically cut again so that lengthening can continue.


What happens if the bone is straightened too quickly during gradual correction?

If the bone is straightened too fast, regenerate bone won’t have time to form. Even though the typical rate of distraction is 1 mm per day, some people’s bones take longer to heal. The regenerate bone needs to form during the distraction phase so that it can act as a bridge between the two bone segments. One non-surgical option when the regenerate bone is not forming is to adjust the orthopedic device to temporarily shorten the bone until the regenerate bone improves to allow the healing to “catch up.” A surgical option to help the body create regenerate bone involves inserting bone tissue (called bone graft) to promote bone growth. After the regenerate begins to fill in between the bone segments, the doctor will allow the patient to continue straightening the bone. Another issue that can occur during distraction is that the soft tissues (muscles, nerves, ligaments, tendons) may resist being stretched, which can cause them to become very tight. A non-surgical option to treat tight muscles and nerves is to focus on stretching these muscles and nerves during physical therapy sessions. Throughout the distraction process, the patient will be instructed to attend physical therapy multiple times per week. Muscle contractures can also be treated surgically if necessary. If a nerve is “pinched” or compressed by the distraction process, a surgical procedure called a nerve decompression can be performed which reduces pressure on the nerve.


What could prevent a bone deformity from being corrected?

If patients do not attend physical therapy sessions or perform their home exercises, their muscle strength and range of motion could be affected and the doctor may ask them to stop treatment. Muscle contracture or nerve problems can also cause the doctor to stop the deformity correction process.


Dr.Jijeesh
Dr.Jijeesh
Dr.Jijeesh
Dr.Jijeesh

© 2020 Limb Reconstruction