“Extreme remedies are very appropriate for extreme diseases.” ― Hippocrate


“Healing is a matter of time, but it is sometimes also a matter of opportunity.” ― Hippocrate

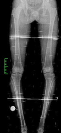
HTO (high tibial osteotomy)

Dr.Jijeesh Dr.Jijeesh HTO is a surgical procedure used to correct the Tibial varus deformity. It is done in genu varus or bowleg. Bowleg is a condition in which the legs have a gradual or sudden bent due to various reasons. The term varus means bent inwards and the term valgus means bent outward Normally, on standing both the knees bear equal weight. And in the knee the weight distribution is more on medial or inner side than outer side. So any increase in small degree of varus will cause more force on the medial side than lateral side. In case of valgus small degree wont have much effect on the lateral side. When a person has bowlegs there is increased load on the inner side of the knee more commonly (Varus) or the outer side of the knee (Valgus). This increased loading causes that side to wear out faster and then presents as pain. Generally the body is able to compensate slight bow in the legs by the action of muscles. But when the bent is beyond a certain limit then the muscles cannot compensate and this results in reduction in the joint space and gradual worsening of the angle. When the cartilage of the joint wears out it is called reduced joint space or arthritis knee, which is due to overload. These arthritic changes are called secondary osteoarthritis Ie, arthritis due to bend or some secondary cause. Whereas primary osteoarthritis is the term used in case of wear and tear of knee joint due to old So, in these type of arthritis ie arthritis due to varus otherwise known as medial compartment osteoarthritis the treatment is to correct the alignment of the knee by doing a surgery called High Tibial Osteotomy. HTO is indicated not in all patients with genu Varus. Occasional pain that settles with rest doesn’t require surgery immediately. Generally, in about 80-90% people this settles down with proper exercises and medication for a few days. But if there is worsening on the x-rays even without much pain, then there is a role of correction of the deformity as a “preventive surgery”.




Dr.Jijeesh
Dr.Jijeesh
Dr.Jijeesh


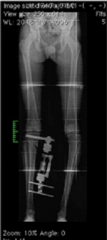
By changing the angle of bone the bow is corrected and the load-bearing axis or the mechanical axis of the limb is brought back to the center of the knee joint. This shift helps in taking the load off the affected side and relieves the pain, but more importantly it helps the overloaded side to get rest and heal. As the healing progresses the narrowed joint space again fills up cartilage. In HTO the principle is to cut the Tibia through a small incision (about 1.5 cm) few inches below the knee; an external fixator is applied to the bone; the angle is then gradually corrected by turning a nut on the fixator (1 mm per day) to a pre-defined point and the fixator is then locked. The fixator remains for a total of 3 months, because that is the time for the bone to heal and become solid. Once the bone healed the Fixator can be removed as an OPD procedure. And there is no. need of any second surgery. The second method is HTO using plate. Here instead of orhofix fixator plate is used for fixation of bone. The advantage is, there is no implant outside the body. But the disadvantage is to get a perfect alignment on standing weight bearing in all cases.

© 2020 Limb Reconstruction